Missing tooth? Dental implant cases
- moni30953
- Jul 18, 2023
- 1 min read
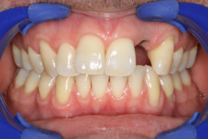
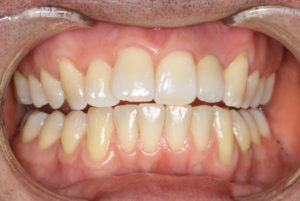
Karl was missing an upper front tooth, which was of course very important to his smile.
We decided to go with an implant replacement, and achieved a wonderful result.
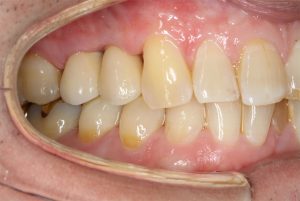
This patient lost two teeth together so two implants were placed to restore in this situation:
If you are also interested in an dental implant replacement for your missing tooth, enquire here or call 0800 FLOSS IT.









Comments