Veneers – Case study
- moni30953
- Jul 18, 2023
- 1 min read
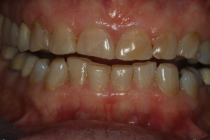
Janet’s teeth were worn from tooth grinding over the years and she was not happy with the appearance of the front teeth both in respect to shape and colour, so much so that she disliked her smile.
To give Janet a smile she liked we undertook some preliminary work raising the back teeth to create room to place the new front restorations or “composite veneers”.
We elected to use composite which is our routine tooth coloured filling material. We chose composite because should there be any future breakage or change required, in this case it is easier to do with composite as opposed to ceramic. We could also achieve the desired result with no drilling of the tooth structure, which is not so simple with ceramic veneers.









Comments